Background
The olive flounder Paralichthys olivaceus is an economically important aquaculture species in Korea. The Korean Statistical Information Service (KOSIS) suggested that in the first half of 2019, olive flounder production was 25,016 M/T, which is 58.1% of the total fish aquaculture production of South Korea. However, various diseases occur in olive flounder every year, causing large economic damages.
In 2011, 13.57% of the total mortality of olive flounder was found to be caused by streptococcal infection in 70 olive flounder farms in South Korea (Kim et al. 2012). From May to October 2012, 12.8% of the mortality in the whole Korean inland olive flounder aquafarm was caused by streptococcal infection (Jee et al. 2014). In addition, by analyzing the causes of mortality in olive flounder aquafarms in Jeonnam and Jeju, the rates of mortality caused by streptococcal infection were 9.76% in 2015, 7% in 2016, and 2% in 2017 (Shim et al. 2019). Streptococcal-infected olive flounders have symptoms such as hemorrhagic septicaemia, exophthalmia, meningitis with abnormal swimming, and ascites (Mishra et al. 2018). In order to treat streptococcal disease, various fishery antibiotics are being used at aquaculture sites (Kim et al. 2014).
However, the abuse of previously used fishery antibiotics has had negative impacts on the safety of aquatic products and fish (Katz and Brady 2000) and has caused the emergence of resistant strains (Smith et al. 1994). With the emergence of resistant strains, illegal use of veterinary medicines that are prohibited for use in fish has been increasing. To solve this problem, applying new antibiotics is necessary, and research on the veterinary medicines that have good effects on fish disease bacteria is also required.
Tylosin, a macrolide antibiotic, was commercialized in 1962 from the soil microorganism Streptomyces fradiae, and more than 1800 t are produced per year worldwide (JECFA 2009). Tylosin is known to have strong antimicrobial activity against Gram-positive bacteria and mycoplasma (Prescott and Baggot 1988), and antibiotics based on tylosin are used in various livestock that show symptoms such as mycoplasma disease, porcine proliferative enteropathy, and swine dysentery (Gingerich et al., 1997). However, tylosin is only used in livestock, and there are no studies on the effects and side effects in fish.
In order to apply tylosin-based antibiotics in fisheries, studies on the appropriate concentrations, methods, and safety to the fish are necessary. Therefore, in this study, we investigated the therapeutic effects and side effects of tylosin on Streptococcus parauberis-infected olive flounder, and these results could be used as basic data for applying tylosin-based antibiotics in fisheries.
Materials and methods
We purchased olive flounder from a farm in Geoje, Gyeongsangnam-do, with a mean length of 14.5 ± 1.2 cm and a mean body weight of 47 g ± 8.5 g. The fish were maintained in seawater tanks with a flow rate of approximately 2 L/min for 2 weeks at 23–26 °C.
Tylosin inj. 200 (SF Co., Ltd., Korea) was used for intramuscular injection (I.M.), and Ty-gold (Daehan New Pharm Co., Ltd., Korea) was used for oral administration.
The S. parauberis SPOF18J3 strain isolated from olive flounder in Seogwipo, Jeju, Korea, was purchased from Fish Disease Prevention Lab in Pukyong National University. The strain was incubated for 24 h at 27 °C using brain heart infusion agar (BHIA; Difco, USA) supplemented with 1% NaCl. Pure colonies were used after passage for 24 h in BHI broth. In addition, in order to identify the strain, the species was identified through polymerase chain reaction (PCR) using a primer (Mata et al. 2004) specific for the 23S rRNA sequence of streptococci (Table 1). The amplifications were carried out in a T-100TM Thermal Cycler (Bio-Rad) with the following parameters: an initial denaturation step of 94 °C for 2 min; 25 serial cycles of a denaturation step of 92 °C for 1 min, annealing at 55°C for 1 min, and extension at 72 °C for 90 s; and a final extension step of 72 °C for 5 min. The identified streptococci were used for infection, and the strains isolated during the experiment were also identified to confirm the species.
Primer | Sequences (5′ → 3′) | Target gene | Product size (bp) |
|---|---|---|---|
Spa2152 | TTTCGTCTGAGGCAATGTTG | 23 s rRNA | 718 bp |
Spa2870 | GCTTCATATATCGCTATACT |
The efficacy of tylosin I.M. against S. parauberis-infected olive flounder was confirmed. The S. parauberis SPOF18J3 strain was suspended in phosphate-buffered saline (PBS) at a concentration of 1 × 107 CFU/mL and artificially infected by subcutaneously injection of 100 μL to the base of the dorsal fin of the olive flounders. Twenty-four hours after artificial infection, tylosin was suspended in PBS and diluted to concentrations of 2.5, 5, 10, and 15 mg/kg per 100 μL, and administered by I.M. to olive flounders. Fish in the negative control group were injected with the same volume of PBS instead of the strain and tylosin. Fish in the positive control group were administered PBS I.M. instead of tylosin after artificial infection. There were 7 fish in each group, and the experimental groups were tested in 3 replicates. The water temperature was maintained at 25 °C, and the mortality rate was observed for 14 days. The surviving fish on the 15th day were anesthetized with benzocaine and sacrificed to investigate the infection rate through the kidneys and spleen.
The efficacy of tylosin oral administration against S. parauberis-infected olive flounder was confirmed. Fish were artificially infected in the same way as described in the analysis of the efficacy of I.M. tylosin. Twenty-four hours after artificial infection, tylosin was suspended in PBS and diluted to concentrations of 10 and 20 mg/kg per 100 μL and administered orally to stomach of olive flounders using oral zoned needle once a day for 5 days. Fish in the negative control group were injected with the same volume of PBS instead of the strain and tylosin. Fish in the positive control group were administered orally PBS instead of tylosin after artificial infection. There were 10 fish in each group, and the experimental groups were tested in 3 replicates. The water temperature was maintained at 25 °C, and the mortality rate was observed for 14 days. The surviving fish on the 15th day were anesthetized with benzocaine and sacrificed to investigate the infection rate through the kidneys and spleen.
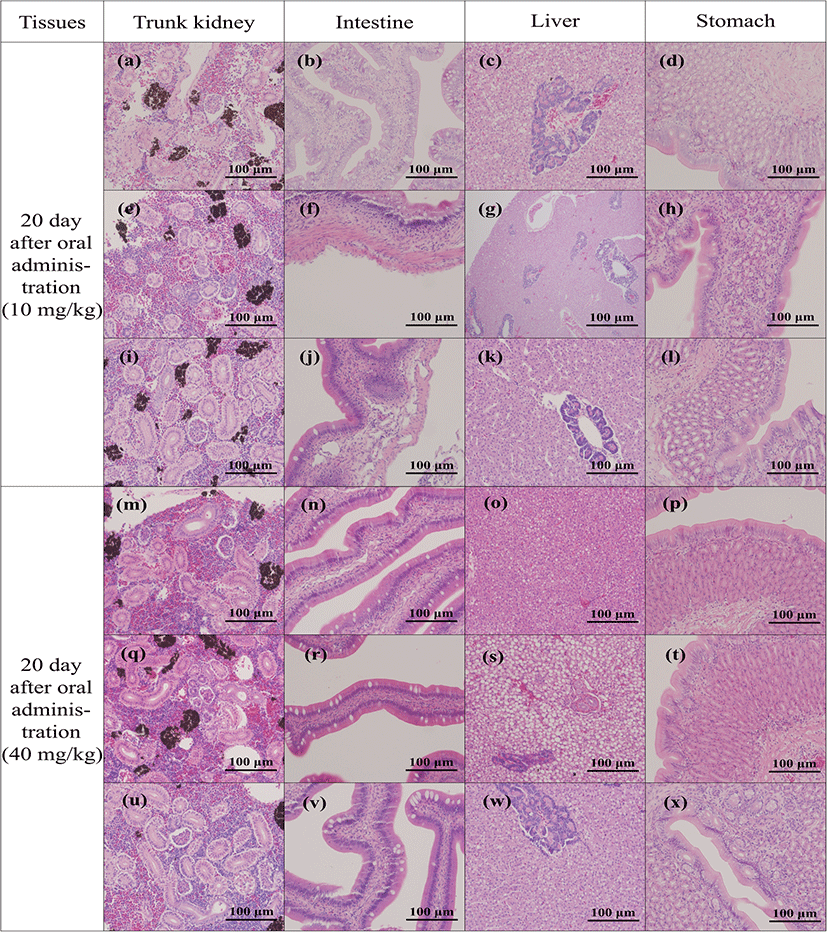
The side effects after I.M. or oral administration of tylosin on various tissues were confirmed through histopathological and hematological analysis. The fish I.M. injected with tylosin at dose of 10 and 40 mg/kg and the oral administration groups were treated once a day for 5 days. The tissues from the I.M. groups (trunk kidney, liver, muscle, and blood) and oral administration group (kidney, intestine, liver, stomach, and blood) were collected 1, 2, 5, 10, and 20 days after treatment. The control group was injected with PBS. The collected blood was centrifuged at 7000 rpm for 10 min to separate serum, and alanine aminotransferase (ALT) and aspartate aminotransferase (AST) levels were analyzed with a serum analyzer (FUJI DRI-CHEm 4000i, Japan). Significant differences between the derived results were confirmed by one-way analysis of variance (ANOVA) and Tukey’s test (p < 0.05). Tissues were fixed in 10% neutral buffered formalin. After fixation, standard histological procedures were used for tissue dehydration and paraffin embedding. Tissue sections were then stained with hematoxylin and eosin (H&E). The pathological symptoms observed were classified as normal, mild, moderate, and deep.
The LD50 was examined to determine the acute toxicity of tylosin. Tylosin was I.M. injected into olive flounder at concentrations of 350, 400, 450, and 500 mg/kg. Mortality rates were measured for 96 h, and LD50 values were estimated (Finney et al. 1971).
Results
The cumulative mortality rate of the negative control group was 0%, and all of the positive control group fish died 9 days after infection. The mortality rates of the 2.5 mg/kg and 5 mg/kg groups were 29% and 33%, respectively. The mortality rates of the 10 mg/kg and 15 mg/kg groups were the lowest at 10% (Fig. 1). The infection rate of the surviving fish was 0% in the negative control group. The infection rates of the 2.5 mg/kg and 5 mg/kg groups were 79% and 71%, respectively. The infection rate of the 10 mg/kg group was 13%, and the infection rate of the 15 mg/kg group was 9% (Table 2).

The final cumulative mortality rate of the positive control group was found to be 70%, and no mortality occurred in the negative control, 10 mg/kg, and 20 mg/kg groups (Fig. 2). At the end of the experiment, the infection rate was confirmed to be 0% for both the negative control group and the 10 mg/kg group. All surviving fish in the positive control group were infected, and 7% were infected in the 20 mg/kg group (Table 3).

Group | Con (−) | Con (+) | 2.5 mg/kg | 5 mg/kg |
|---|---|---|---|---|
Cumulative mortality (%) | 0 (0/10) | 70 (7/10) | 0 (0/30) | 0 (0/30) |
Relative survival rate (%) | 100 | 30 | 100 | 100 |
Infection rate (%) in survival fish | 0 (0/10) | 100 (3/3) | 0 (0/30) | 7 (2/30) |
The AST level was slightly higher in the experimental group than in the control group after I.M., but there was no significant difference in all sections between I.M. and oral administration (Fig. 3). Likewise, no significant difference was found in the ALT levels between the control and experimental groups (Fig. 3).

Mild fatty liver and liver atrophy were observed in most samples, including the control group (Figs. 4, 5, 6, 7, 8, 9, 10, 11, 12, 13, 14, and 15). Some muscle tissues showed an inflammatory response (Figs. 6c, 7i, r, and 8o), but most of the muscle tissues were normal. Mild renal tubule vacuolization was detected in the experimental group (Fig. 5a, d, and j, 6a, d, and m, and Fig. 7a, m), and renal tubule atrophy (Fig. 6j) appeared. After oral administration, fatty changes in the liver and liver atrophy occurred in most of the samples, including the control. On the second day after oral administration, intestinal epithelial cell atrophy was observed in the 10 mg/kg group (Fig. 12b), and on the fifth day, renal tubular vacuolization was found in the kidneys of the 40 mg/kg group (Fig. 13m). Except for these groups, there were no significant differences compared to the control. Summaries of histopathological results after tylosin I.M. or oral administration are shown in Tables 4 and 5.












The mortality rates after I.M. of tylosin are shown in Table 6, and the LD50 value was found to be approximately 461 mg/kg.
Group | 350 mg/kg | 400 mg/kg | 450 mg/kg | 500 mg/kg |
|---|---|---|---|---|
Cumulative mortality (%) | 0 (0/10) | 30 (3/10) | 50 (5/10) | 60 (6/10) |
Discussion
Macrolide antibiotics are generally known to bind to ribosomes and inhibit protein synthesis (Corcoran et al. 1977). The mechanism of tylosin is the inhibition of protein synthesis, prevention of the aminoacyl portion of aminoacyl-tRNA binding to ribosomes, and inhibition of the formation of the mRNA-aminoacyl-tRNA-ribosome complex (Prescott and Baggot 1988). The binding portion of tylosin is the 50S subunit of the ribosome, and tylosin is known as a safe antibiotic that has a wide range of antimicrobial activity, such as against Gram-positive bacteria, Gram-negative bacteria, and mycoplasma, and has little effect on humans or animals.
In this study, as a result of confirming the therapeutic effect of various concentrations of tylosin on olive flounder infected with S. parauberis, I.M. showed the lowest mortality and infection rate at 10 mg/kg (Fig. 1, Table 2). In these results, there was no concentration-dependent relative survival rate tendency, possibly because the number of olive flounder was not large enough, and there was a slight variation in weight between individuals. However, from the 10 mg/kg group, it can be concluded that there is a significant decrease in mortality and infection rate. In addition, oral administration also showed the lowest mortality and infection rates at 10 mg/kg (Fig. 2). According to a previous study, I.M. of tylosin twice a day for 3 days at 4 mg/lb (approximately 8.8 mg/kg) to pigs infected with Lawsonia intracellularis, the causative pathogen of porcine proliferative enteropathy, was effective (Marsteller et al. 2001), and I.M. of 20% tylosin at 1 mL/20 kg (10 mg/kg tylosin) once a day for 3 to in sheep and cattle with pneumonia was effective. Therefore, it was found that the appropriate treatment concentration in this study was similar to the previous study. In addition, according to the final report of the National Institute of Fisheries Science of Korea, it was confirmed that the MIC of tylosin against the S. parauberis SPOF18J3 strain was 1 μg/mL (NIFS 2019). In order to show antibiotic activity, a concentration 10–100 times the MIC is the general range used (Widmer 2001). In addition, since the recommended commercial injectable tylosin concentration is 2–10 mg/kg, the most appropriate treatment concentration of tylosin for S. parauberis SPOF18J3-infected flounder is 10 mg/kg. There are many ways to administer antibiotics, and each has its advantages and disadvantages. I.M. of antibiotics shows high bioavailability and rapid absorption, but requires a lot of manpower and causes great stress to the fish. On the other hand, oral administration of antibiotics shows low bioavailability and slow absorption, but it is very convenient and does not cause stress to fish. Therefore, it is important to choose an administration method suitable for the situation of the farm.
AST and ALT are enzymes found primarily in the liver but are also found in organs such as muscle tissue, kidneys, heart cells, and red blood cells (Huang et al. 2006). AST is also used as a clinical indicator for the liver, muscle, and kidney because it correlates with cell damage. ALT is the mostly distributed in the liver and has a more specific response to hepatocellular injury than AST. After statistically confirming the changes in the AST and ALT levels after I.M. and oral administration of tylosin, there was no significant difference between any of the sections. From a pharmacokinetic point of view, tylosin is well absorbed by the digestive tract or muscle (Lewicki 2006) and shows a bioavailability of 22.5–34% after I.M. (Kowalski et al. 2002) and 70–95% after oral administration (Ziv and Sulman 1973; Baggot 1978; Prats et al. 2002). In addition, the primary and major metabolism of tylosin occurs in the liver, and metabolites are known to be widely distributed in tissues such as the liver, kidneys, muscles, and plasma (Lewicki 2006). Nevertheless, the levels of AST and ALT did not show any significant changes compared to the control group in this study, so tylosin is not thought to be toxic to tissue cells.
In addition, in this study, the LD50 of tylosin I.M. was found to be 461 mg/kg. The LD50 values in mice, rats, dogs, Bobwhite quails, cockerels, etc. have been identified in various previous studies to be 321–695 mg/kg after intravenous and intraperitoneal injections, 784–4083 mg/kg after subcutaneous injections, and at least 3650 mg/kg after oral administration (Anderson and Worth 1961; Anderson et al. 1966; Quarles 1983; Morton 1988). This supports tylosin having low toxicity to animals.
We confirmed the side effects of tylosin on the various flounder tissues, and there was a slight inflammatory reaction of the muscles in some fish in the 10 mg/kg and 40 mg/kg groups, but it was not significant. There was no inflammatory reaction 5 days after injection. In the case of tylosin oral administration, slight intestinal epithelial cell atrophy was observed in only one sample, but this was also not significant. In addition, it was confirmed that slight renal tubule vacuolization and renal tubule atrophy occurred in some individuals in the 10 mg/kg and 40 mg/kg groups. The proximal renal tubules are the first sites that contact the toxin after it has been filtered by the glomeruli, so damage from toxic substances can easily occur (Solez 1984). Therefore, the kidney can be a target tissue for antibiotic toxicity, and the degree of kidney damage depends on the type and dose of the antibiotic. Antibiotic glomerulonephritis or renal tubular lesions in fish have been reported in several species (Augusto et al. 1996; Reimschuessel and Williams 1995; Reimschuessel et al. 1996). However, in most of the experimental groups, there was no difference compared to the control group, the symptoms were mild, and the toxicity was considered to be low because it did not have a significant effect on the fish.
Conclusion
In this study, we applied tylosin to treat olive flounder streptococcal disease for the first time. Through this study, it was found that proper administration of tylosin to olive flounder infected with S. parauberis SPOF18J3 was I.M. or oral administration of 10 mg/kg, and these data can be applied directly to aquaculture sites. In addition, histopathological analysis, serological analysis, and LD50 verification confirmed that the toxicity of tylosin to olive flounder was extremely low. Therefore, it is considered appropriate to treat olive flounder infected with S. parauberis with tylosin. In addition, pharmacokinetic analysis of tylosin on olive flounder is needed, and these results may be used as basic data for the evaluations required upon request to obtain approval for tylosin use as fishery antibiotics in Korea.







